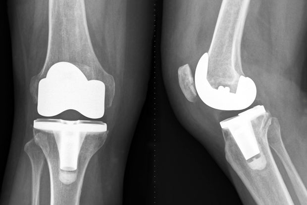
• 病人的膝關節僵硬、變形和活動能力下降,如果這非手術性的治療方法未能奏效,則可選用全膝關節置換的手術。全膝關節置換術是一種人工關節置換外科手術,是指切除機體已無法自行修復的關節面,用人工關節部件替代損壞的關節,矯正肢體力線,消除膝關節疼痛,維持關節穩定性,恢復膝關節功能的一種治療方法。

  • 半膝關節和全膝關節置換有什麼分別?

    做全髖關節置換手術,既要把股骨這一側的股骨頭切除,換人工股骨頭上去,又要把髖關節髖臼也做人工臼杯,就是全髖關節置換手術。對於半髖關節置換手術來講,只做股骨這側的股骨頭置換,髖臼側不做。

  • 全膝關節置換術有沒有年齡限制?

    全膝關節表面置換術適用於50-85歲之間,但是也可以年齡再放年輕或者是年齡再大,只要體質適合手術,都可以做膝關節置換,年齡不是一個特別限制這個手術的原因,主要是成年以後的關節如果出現嚴重問題,影響他的日常生活,甚至是讓他生活不能自理,就可以做膝關節置換,以各個置換對年齡的要求不是特別一致。